Шрифт
A
A
A
Оформление
Светлое
Темное
Изображения
Норм.
Ч/б
Обычный режим
Версия для слабовидящих
Регистратура
(343) 224-10-24
г. Екатеринбург, 22-го Партсъезда, 50

Эндоскопическая трансбронхиальная ультрасонография (EBUS)

С 2012 г. в Уральском научно-исследовательском институте фтизиопульмонологии применяется инновационная технология – эндоскопическая трансбронхиальная ультрасонография. Это эффективный современный метод диагностики заболеваний средостения. Он позволяет детально оценивать лимфоузлы средостения и проводить стадирование опухолей. Это уникальная методика, суть которой — проведение ультразвукового исследования изнутри, что позволяет рассмотреть внутренние органы в деталях. Исследование выполняется с помощью специального эндоскопа, на конце которого имеется не только оптический прибор, но и миниатюрный ультразвуковой датчик. Использование в приборе очень высоких частот ультразвука обеспечивает глубокое проникновение в ткани и высокое качество изображения, недоступное другим методам исследования.
Эндосонография не сопряжена с риском рентгенологического облучения врача и пациента, отсутствует опасность возникновения осложнений.

Внедрение эндобронхиальной ультрасонографии с возможностью выполнения аспирационной биопсии из лимфоузлов средостения (TBNA) позволяет определить степень распространенности процесса и провести морфологическую верификацию диагноза при различных заболеваниях легких и средостения. Манипуляция может проводиться как под общим наркозом, так и под местной анестезией.

PENTAX EB-1970UK и HITACHI HI VISION Avius

Мы используем эндоскопическую видеостойку PENTAX c ультразвуковым видеобронхоскопом PENTAX EB-1970UK с конвексным датчиком  и  ультразвуковую систему экспертного класса HITACHI HI VISION Avius.

HITACHI HI VISION Avius

  • Ультразвуковое исследование с высоким разрешением бронхиального дерева, грудной стенки, органов и структур брюшной полости и забрюшинного пространства, малых структур.
  • Малоинвазивные диагностические и лечебные вмешательства под УЗ контролем с эластографией в реальном масштабе времени на органах и структурах.
  • Выполнение прицельной тонкоигольной аспирационной биопсии под ультразвуковым контролем (трансбронхиальной биопсии).

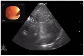
Иллюстрация процедуры EBUS TBNAИллюстрация процедуры EBUS TBNA

Ультразвуковая картина, получаемая при пункции лимфоузлаУльтразвуковая картина, получаемая при пункции лимфоузла

События

31 марта
Свердловских медиков наградили в зоне СВО

Военнослужащих-медиков Екатеринбургского медицинского отряда специального назначения группировки "Центр" наградили в зоне специальной военной операции

21 ноября 2025 г.
Подвиг военных медиков на передовой СВО

Дзаганиа Дмитрий Акакиевич – наш земляк, ординатор 2 курса УНИИФ служил в зоне СВО

28 сентября 2025 г.

Акция к празднованию Дня воссоединения Донецкой Народной Республики, Луганской Народной Республики, Запорожской области и Херсонской области с Российской Федерацией

20 августа 2025 г.
80-ЛЕТИЕ АТОМНОЙ ПРОМЫШЛЕННОСТИ В РОССИИ

В 2025 году Россия отмечает 80-летие атомной промышленности. Отправной точкой стало создание 20 августа 1945 года Специального комитета по использованию атомной энергии.

6 июня 2025 г.
Мы сильнее, когда #МЫВМЕСТЕ

До 23 июня подавайтесь на Международную Премию #МЫВМЕСТЕ!

21 мая 2025 г.
ХХ Всероссий конкурс молодежи образовательных и научных организаций

Поздравляем с победой в ХХ Всероссийском конкурсе молодежи образовательных и научных организаций «Моя законотворческая инициатива» по направлению «Образование, наука, здравоохранение и культура»

17 мая 2025 г.
День пульмонолога!

17 мая профессиональный праздник отмечают врачи, специализирующиеся на диагностике и лечении заболеваний органов дыхания — пульмонологи